کاربرد پودر استخوان در دندانپزشکی؛ همه چیز به زبان ساده

وقتی به هر دلیلی دندون از دست می‌ره یا فک تحلیل میره، اولین مشکلی که پیش میاد اینه که استخوان کافی برای کاشت دندون (ایمپلنت) وجود نداره. بدون استخوان محکم، هیچ ایمپلنتی درست سر جاش نمی‌مونه. اینجاست که پودر استخوان به کمک دندونپزشک و بیمار میاد.

شاید اسمش کمی عجیب باشه، ولی پودر استخوان ماده‌ایه که برای بازسازی استخوان از دست‌رفته فک استفاده میشه و باعث میشه شرایط برای کاشت دندون یا حتی حفظ زیبایی صورت بهتر بشه.

ایمپلنت دندان با پودر استخوان

پودر استخوان دقیقا چیه؟

پودر استخوان نوعی ماده پرکننده‌ست که می‌تونه از منابع مختلف ساخته بشه:

  • از استخوان خود فرد (که بهش اتوژن میگن)،

  • از استخوان افراد دیگه (آلوژن)،

  • از استخوان حیوانات مثل گاو (زئونژن)،

  • یا به‌صورت مصنوعی (سنتتیک).

این پودر نقش یه پایه یا چارچوب رو بازی می‌کنه تا بدن بتونه کم‌کم سلول‌های جدید استخوانی بسازه و جای خالی رو پر کنه.

ساختار پودر استخوان در دندانپزشکی

کجاها از پودر استخوان استفاده میشه؟

۱. قبل از کاشت دندون (ایمپلنت)

وقتی حجم استخوان کافی نیست، دندونپزشک اول حفره رو با پودر استخوان پر می‌کنه تا یه بستر محکم برای کاشت ایمپلنت به‌وجود بیاد.

۲. لیفت سینوس

تو فک بالا، مخصوصاً دندون‌های عقب، خیلی وقتا استخوان کم میشه یا سینوس پایین میاد. اینجاست که پودر استخوان برای پر کردن اون فضا و آماده کردن محل ایمپلنت استفاده میشه.

۳. بعد از کشیدن دندون

اگه بعد از کشیدن دندون حفره خالی بمونه، به مرور لثه و استخوان جمع میشه. با ریختن پودر استخوان داخل اون حفره، شکل استخوان حفظ میشه و بعداً راحت‌تر میشه ایمپلنت گذاشت.

۴. ترمیم ضایعات یا کیست‌ها

گاهی به‌خاطر بیماری یا کشیدن دندون قدیمی، یه بخش از استخوان از بین میره. پودر استخوان کمک می‌کنه اون ناحیه دوباره ترمیم بشه.

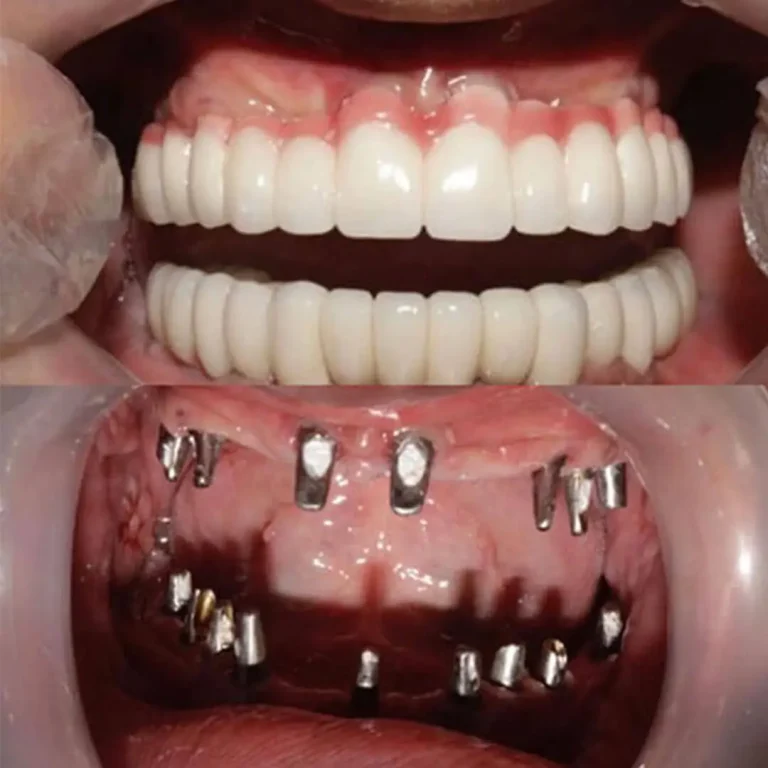
نمونه درمان های انجام شده در الماس

مزایای استفاده از پودر استخوان

  • آماده‌سازی شرایط برای ایمپلنت موفق

  • جلوگیری از جمع شدن لثه و استخوان

  • کمک به زیبایی لبخند و فرم صورت

  • ماندگاری بیشتر ایمپلنت‌ها

عوارض احتمالی

همون‌طور که هر عمل جراحی کوچیک یا بزرگ ممکنه عوارض داشته باشه، استفاده از پودر استخوان هم ممکنه باعث بشه:

  • کمی ورم یا التهاب ایجاد بشه،

  • در موارد نادر عفونت به‌وجود بیاد،

  • یا پیوند اون‌طور که باید جواب نده.

البته اگه این کار توسط دندونپزشک متخصص انجام بشه و بیمار هم مراقبت‌های بعد از عمل رو جدی بگیره، احتمال این مشکلات خیلی خیلی کم میشه.

پودر استخوان چه‌جوری جذب میشه؟

وقتی پودر داخل فک قرار می‌گیره، بدن شروع می‌کنه به ساخت سلول‌های جدید استخوانی. کم‌کم پودر جذب میشه و جای اون رو استخوان طبیعی خود فرد می‌گیره. این روند ممکنه چند ماه طول بکشه، اما نتیجه پایدار و دائمیه.

چه کسانی بیشتر به پیوند استخوان نیاز دارن؟

  • کسایی که مدت طولانی دندون از دست دادن و فکشون تحلیل رفته

  • بیمارانی که می‌خوان ایمپلنت بذارن ولی استخوان کافی ندارن

  • کسایی که کشیدن دندون انجام دادن و می‌خوان فرم فک حفظ بشه

  • افرادی که به‌خاطر بیماری یا کیست، بخشی از استخوانشون رو از دست دادن

مراقبت‌های بعد از پیوند استخوان

  • مصرف منظم داروهایی که دندونپزشک میده (آنتی‌بیوتیک و مسکن)

  • پرهیز از سیگار (چون روند ترمیم رو کند می‌کنه)

  • رعایت بهداشت دهان و دندون

  • پرهیز از فشار آوردن به ناحیه جراحی تا چند روز

سوالات متداول

همه می‌تونن از این روش استفاده کنن؟

بیشتر افراد بله، ولی کسایی که بیماری خاص یا مشکل سیستم ایمنی دارن باید اول با پزشک مشورت کنن.

درد داره؟

خیر، این کار زیر بی‌حسی انجام میشه. بعدش فقط کمی درد و ورم طبیعی و موقتی حس میشه.

پودر استخوان تا چه مدت تو فک می‌مونه؟

کم‌کم جذب میشه و جای اون رو استخوان طبیعی می‌گیره. اثرش درواقع دائمیه چون تبدیل به استخوان خودت میشه.